
Nytt Merck-medikament mot MS godkjent for det europeiske markedet
Selskapet forventer tysk og britisk lansering innen en måned.
Denne artikkelen er mer enn fem år gammel.
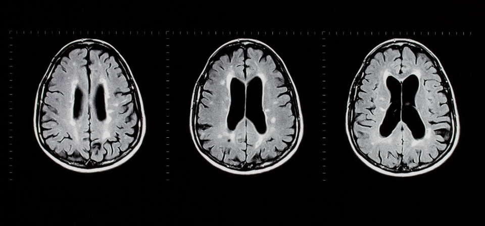
Det tyske legemiddelselskapet Merck har fått grønt lys fra EU-kommisjonen til å markedsføre legemiddelet kladribin (Mavenclad) på det europeiske markedet. Medikamentet er godkjent til behandling av attakkpreget multippel sklerose, kunngjorde Merck fredag. EU-godkjennelsen er basert på data om mer enn 2700 pasienter, blant annet fra tre fase 3-studier.
Ifølge det tyske selskapet skal medikamentet i første omgang lanseres i Tyskland og Storbritannia, der produktet ventes å komme på markedet i løpet av september. Ifølge Merck er også en søknad om amerikansk godkjennelse også nært forestående.
I Norge har Statens legemiddelverk fått i oppdrag å gjøre en hurtig metodevurdering av medikamentet. Behandlingen er ifølge Legemiddelverket aktuell for samme pasientgruppe som i dag behandles med Biogen-produktet natalizumab (Tysabri), Genzyme-medikamentet alemtuzumab (Lemtrada) eller Novartis’ fingolimod (Gilenya).